These are real-life examples of before and after photos of our patients our orthodontists and team have treated at Austin Family Orthodontics. Click on any image to view a larger version.

Deep Bite
deep bite
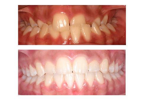
Crowding
crowding
Invisalign®
Invisalign
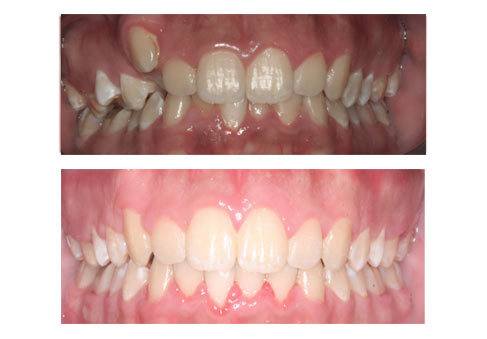
Crowding
crowding before and after

 

Early Treatment
early treatment
Underbite and Crowding
underbite
Open Bite and Crowding
open bite
High Canine and Crowding
high canine

If you would like to meet with our orthodontists in Austin, Hutto, Leander or Round Rock, Texas, please call 512-258-9007!

Share this: